Smile Gallery
Barbara
Click to see before/after photos
A Single front crown replaces old bonding and was integrated perfectly into the smile.
Brandi
Click to see before/after photos
Patient fractured her two front teeth riding her bicycle. The restorations were completed with white composite bonding material all in one day!
Cindy
Click to see before/after photos
Lengthening the teeth and creating a fuller, broader smile with an in-office composite veneer application
Anne
Click to see before/after photos
Old veneers are placed by new, more natural looking veneers!
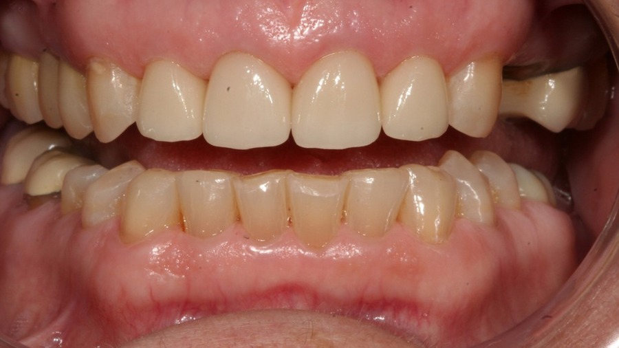
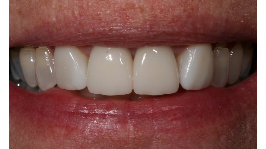
Susan
Click to see before/after photos
New Porcelain crowns transform a smile!
Vandana
Click to see before/after photos
Front teeth that were previously stained, chipped, and worn were made new again with composite veneers.
Jeanette
Click to see before/after photos
Old metal-lined crowns were replaced with all porcelain crowns and some bonding!
Dan
Click to see before/after photos
Before: Lesions from toothbrush abrasion and abfraction After: smooth white fillings
Victoria
Click to see before/after photos
Before: Stained teeth After: Composite Bonding
Brad
Click to see before/after photos
Before: Chipped and worn teeth After: Crowns and whitening transform the smile.
Holly
Click to see before/after photos
Before: Old composite bonding that is stained, chipped, and worn. After: Beautiful new white crowns.
Lauren
Click to see before/after photos
Before: A lower molar showing an old silver filling surrounded by tooth decay. After: The a beautiful white filling on that same lower molar after only a 30 minute appointment!
Jennifer
Click to see before/after photos
Before: This patient cracked her front tooth while she was on a run. After: A new beautiful crown!
Sandy
Click to see before/after photos
Before: Stained, Old bonding, Uneven tooth size After: Beautiful new crowns and whitening!

Make an Appointment
